

歯と歯肉の関係
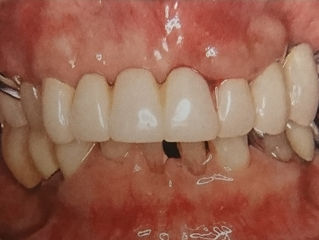
どうなっているんだ !!歯と歯肉の関係 [顕微鏡の世界] 2019-3-9 (土) 支部例会及び勉強会 (高崎市総合福祉会館1階創作室 PM7:00~) 歯周組織:歯肉溝の構造と役割、生物学的幅径について 天田歯科医院院長 天田雅人先生...


3月の例会及び勉強会
高歯技例会及び勉強会のお知らせ。 3月の例会及び勉強会は第2週の9日(土)になります お間違えの無い様お願いいたしま *日時:H31年3月9日(土) 高崎総合福祉会館(創作室) 例会後勉強会を行います。 今回は特別に講師の先生をお呼びいたしました。 *演題:...


ハクチョウの飛来
鏑川にハクチョウが飛来、カモ類 高崎市木部町の鏑川河川に50~60羽のハクチョウが飛来しています。 餌付けをしているため1日中この近くで餌を食べ北へ旅立つための体力をつけています。近くで見ることができるので、多くのアマチアカメラマンや家族づれの 人たちも来ています。...


2月の例会及び勉強会
キャストプレートの設計、鋳造、研磨完成まで 2019-2ー2 (土)支部例会及び勉強会 (高崎総合福祉会館1階創作室 PM7:00~) (キャストプレートの設計、鋳造、プレート研磨) 坪根智也 通常例会の後、坪根氏によるキャストプレートの設計から鋳造、プレート研磨完成までの...


平成30年度 市民公開講座の開催
(一社)藤岡多野歯科医師会による市民講座が開催されます


高歯技、忘年会
H30年高歯技忘年会 H30年12月1日(土)19:00より高崎歯科技工士会忘年会を開催いたしました。 場所は高崎駅西口よりすぐの焼き鳥゛巣の鳥゛(スノウ)参加者は11名。 高崎の街もペデストリアンデッキにより歩きやすくなり、高い位置から見渡せる街並みは...


身元確認訓練研修会に参加
群馬県歯科医師会・群馬県警察合同身元確認訓練研修会参加 平成30年10月28日(日)群馬県歯科医師会・群馬県警察合同身元確忍訓練研修会に参加してきました。 群馬県歯科技工士会からは5名の参加。今回、この研修会に興味を持ち...


EVAシート3,8ミリ 使用のマウスガード製作
平成30年度11月10日(土)高崎総合福祉センターにて例会及び 勉強会が行われました。 例会では佐藤会長が先日、群馬県歯科医師会館にて行われた 「身元確認訓練研修会」の報告がありました。 これから災害等において身元不明者の発見において、...


いい歯いい口いい人生
平成30年度第21回いい歯いい口いい人生イベントレポート 平成30年11月11日(日)今年も群馬県歯科衛生士会、群馬県歯科技工士会主催 、いい歯いい口いい人生イベントが、けやきウォーク前橋2Fけやきホールにて行われました。...


高歯技勉強会
11月10日 勉強会の予定 マウスガード(ナイトガード)ソフトタイプ プレスから咬合調整、艶出し完成までを行います






























